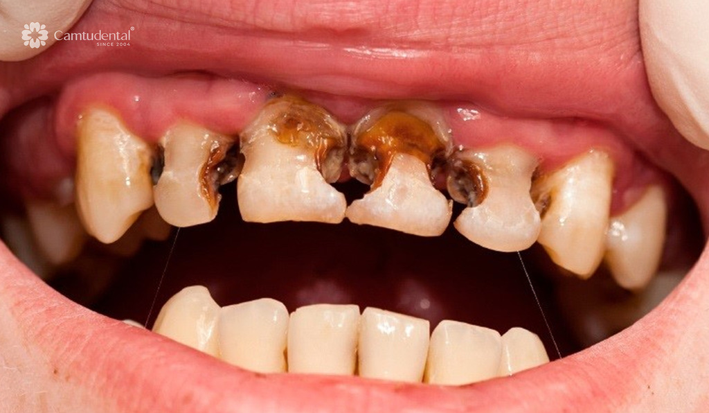
Sâu răng là một trong những bệnh răng miệng phổ biến nhất ở trẻ em. Nếu không được điều trị kịp thời, sâu răng có thể tiến triển thành viêm tủy răng sữa, tình trạng viêm nhiễm nghiêm trọng ở buồng tủy, nơi chứa mạch máu và dây thần kinh nuôi dưỡng răng. Viêm tủy răng không chỉ khiến trẻ đau nhức, khó ăn uống mà còn ảnh hưởng đến quá trình mọc răng vĩnh viễn sau này.
Bài viết dưới đây sẽ giúp cha mẹ hiểu rõ hơn về nguyên nhân, dấu hiệu, cách điều trị và phòng ngừa viêm tủy răng sữa, từ đó bảo vệ tốt nhất sức khỏe răng miệng cho bé.

Mục lục
Viêm tủy răng sữa là gì?
Viêm tủy răng sữa là tình trạng tủy răng phần chứa mạch máu và dây thần kinh bên trong răng bị viêm do vi khuẩn xâm nhập.

Tủy răng đóng vai trò “trái tim” của răng, giúp nuôi dưỡng và duy trì sự sống của răng sữa. Khi tủy bị viêm, trẻ sẽ cảm thấy đau nhức dữ dội, thậm chí lan sang vùng má hoặc thái dương. Nếu không chữa trị, viêm tủy có thể dẫn đến áp xe, viêm xương ổ răng, hoặc mất răng sữa sớm, gây lệch khớp cắn khi mọc răng vĩnh viễn.
Dấu hiệu viêm tủy răng sữa
Cha mẹ có thể nhận biết viêm tủy răng sữa thông qua các dấu hiệu sau:
- Đau nhức răng thường xuyên: đặc biệt về đêm hoặc khi trẻ ăn đồ ngọt, nóng, lạnh.
- Ê buốt khi ăn uống: răng nhạy cảm bất thường.
- Răng đổi màu sẫm: răng bị viêm tủy thường ngả màu xám, nâu hoặc vàng.
- Hôi miệng: hơi thở có mùi khó chịu dù trẻ đã vệ sinh răng miệng.
- Nướu sưng đỏ, có thể có mủ: dấu hiệu áp xe quanh răng.
- Biểu hiện toàn thân: trẻ chán ăn, quấy khóc, khó ngủ do đau nhức.
Nguyên nhân gây viêm tủy răng ở trẻ em

Một số nguyên nhân có thể dẫn đến viêm tủy răng sữa ở trẻ như:
Sâu răng gây viêm tủy răng
Đây là nguyên nhân phổ biến nhất. Khi vi khuẩn từ lỗ sâu lan vào ngà răng, chúng tấn công buồng tủy gây viêm. Thói quen ăn nhiều đồ ngọt, uống sữa trước khi ngủ nhưng không chải răng kỹ càng làm tăng nguy cơ sâu răng.

Chấn thương ở răng
Trẻ hiếu động, dễ bị té ngã hoặc va đập khiến răng sữa gãy, nứt. Những vết nứt nhỏ tạo điều kiện để vi khuẩn xâm nhập vào tủy.

Phân loại viêm tủy răng sữa
Dựa trên mức độ tổn thương
- Viêm tủy hồi phục: giai đoạn sớm, nếu được điều trị kịp thời thì tủy có thể phục hồi.
- Viêm tủy không hồi phục: tủy bị tổn thương nặng, cần phải lấy tủy để loại bỏ ổ viêm.
Dựa trên giai đoạn tiến triển
- Viêm tủy cấp: gây đau dữ dội, răng cực kỳ nhạy cảm, trẻ thường mất ngủ vì đau.
- Viêm tủy mạn: ít đau hơn nhưng âm ỉ, răng đổi màu sẫm, dễ dẫn đến áp xe.
Viêm tủy răng ở trẻ em có nguy hiểm không?
Có thể nói rằng, viêm tủy răng sữa ở trẻ khá nguy hiểm nếu không được phát hiện và điều trị kịp thời:
- Viêm tủy cấp tính: Gây đau nhức dữ dội, ảnh hưởng đến ăn uống và giấc ngủ. Trẻ có thể sút cân, mệt mỏi vì không ăn được.
- Nguy cơ mắc các bệnh lý khác: Viêm tủy không điều trị kịp thời dễ biến chứng thành viêm quanh chóp, viêm nha chu, hoặc lan sang xương hàm.
- Mất răng sữa sớm: Nếu buộc phải nhổ răng sữa sớm, răng vĩnh viễn có thể mọc lệch hoặc chen chúc, ảnh hưởng khớp cắn.
Như vậy, viêm tủy răng sữa không chỉ là cơn đau thông thường mà có thể gây hậu quả lâu dài.
Bệnh viêm tủy răng sữa được chẩn đoán như thế nào?
Để xác định chính xác tình trạng viêm tủy răng sữa, bác sĩ sẽ kết hợp nhiều phương pháp thăm khám khác nhau. Việc chẩn đoán sớm và đúng giúp đưa ra phác đồ điều trị phù hợp, bảo tồn răng sữa và ngăn ngừa biến chứng về sau. Quy trình thường bao gồm:
Khám lâm sàng trực tiếp
Bác sĩ quan sát khoang miệng để kiểm tra răng có lỗ sâu, vỡ mẻ hay không. Sau đó, kiểm tra nướu quanh răng để xem có sưng đỏ, chảy mủ hoặc chảy máu khi ấn không. Cuối cùng, thực hiện test gõ và test nhiệt để đánh giá mức độ ê buốt của răng. Nếu trẻ đau dữ dội hoặc có cảm giác ê buốt bất thường, thì đây là nguy cơ viêm tủy rất cao.
Chụp X-quang răng
Đây là bước quan trọng giúp bác sĩ nhìn thấy cấu trúc bên trong răng mà mắt thường không quan sát được. Phim X-quang cho thấy mức độ lan rộng của sâu răng, tình trạng buồng tủy, chân răng và cả xương ổ răng xung quanh. Nhờ đó, bác sĩ xác định chính xác răng bị viêm tủy ở giai đoạn nào: cấp, mạn tính hay đã có áp xe.
Đánh giá tổng quát và đưa ra hướng điều trị
Dựa trên kết quả khám và X-quang, bác sĩ sẽ kết luận: răng có thể giữ lại bằng điều trị tủy, bọc mão bảo vệ, hay trong trường hợp quá nặng thì cần nhổ bỏ để tránh lây lan. Đồng thời, bác sĩ cũng xem xét yếu tố sức khỏe toàn thân, độ tuổi và khả năng hợp tác của trẻ để chọn phương án phù hợp nhất.
Nhờ quy trình chẩn đoán tỉ mỉ này, phụ huynh có thể yên tâm rằng con mình sẽ được điều trị theo hướng an toàn nhất, vừa bảo tồn răng, vừa phòng ngừa biến chứng lâu dài cho răng vĩnh viễn.
Viêm tủy răng sữa có tự khỏi không?

Câu trả lời là không. Viêm tủy răng sữa không thể tự lành mà chỉ tiến triển nặng hơn nếu không điều trị.
- Ban đầu, trẻ chỉ đau khi ăn uống.
- Về sau, cơn đau xuất hiện liên tục, nặng hơn về đêm.
- Nếu kéo dài, răng có thể hỏng hoàn toàn, buộc phải nhổ bỏ.
Cha mẹ tuyệt đối không nên chủ quan hay tự chữa bằng thuốc giảm đau tại nhà.
Cách điều trị viêm tủy răng ở trẻ
Khi trẻ được chẩn đoán mắc viêm tủy răng sữa, việc điều trị kịp thời là vô cùng cần thiết để tránh những biến chứng nguy hiểm. Mỗi trường hợp sẽ có mức độ tổn thương khác nhau, vì vậy bác sĩ sẽ lựa chọn phương pháp phù hợp nhất để vừa loại bỏ viêm nhiễm vừa bảo tồn răng thật tối đa.

Phương pháp điều trị phụ thuộc vào mức độ viêm:
- Điều trị bảo tồn: khi viêm còn nhẹ, bác sĩ làm sạch và trám răng để ngăn vi khuẩn.
- Lấy tủy buồng hoặc toàn phần: nếu tủy viêm nặng, bác sĩ loại bỏ phần tủy tổn thương và trám bít ống tủy.
- Bọc răng sữa: sau khi lấy tủy, bác sĩ có thể bọc răng bằng mão sữa để bảo vệ răng khỏi gãy vỡ.
- Thuốc hỗ trợ: sử dụng thuốc kháng sinh điều trị viêm tủy răng, kết hợp thuốc giảm đau, hạ sốt (theo chỉ định của bác sĩ).
Đây là lúc nhiều phụ huynh đặt câu hỏi: “Điều trị viêm tủy răng có đau không?” Nhờ thuốc tê hiện đại, quá trình điều trị thường nhẹ nhàng, trẻ chỉ thấy ê buốt nhẹ sau điều trị và sẽ hết trong vài ngày.
Cách trị viêm tủy răng sữa tại nhà cho trẻ
Cha mẹ có thể áp dụng các biện pháp tạm thời để giảm đau cho trẻ trước khi đến nha khoa:
- Cho trẻ súc miệng bằng nước muối ấm.
- Dùng chườm lạnh ngoài má để giảm sưng và đau.
- Tránh cho bé ăn đồ quá nóng, quá lạnh hoặc quá ngọt.
- Có thể dùng thuốc giảm đau dành cho trẻ em theo hướng dẫn của bác sĩ.
Tuy nhiên, đây không phải là cách chữa dứt điểm. Trẻ cần được đưa đến nha khoa để điều trị tận gốc.
Cách phòng ngừa trẻ bị viêm tủy răng
Viêm tủy răng sữa hoàn toàn có thể tránh được nếu cha mẹ chú ý đến thói quen chăm sóc răng miệng của trẻ ngay từ sớm. Việc phòng ngừa không chỉ giúp bé có hàm răng chắc khỏe, nụ cười tươi sáng mà còn hạn chế tối đa nguy cơ phải trải qua những cơn đau nhức khó chịu và các thủ thuật điều trị phức tạp.
Dưới đây là những biện pháp cha mẹ nên áp dụng:

- Tập thói quen vệ sinh răng miệng sớm: chải răng 2 lần/ngày bằng kem chứa fluor, dùng chỉ nha khoa khi trẻ đủ tuổi.
- Chế độ ăn uống khoa học: hạn chế bánh kẹo, nước ngọt, thay bằng rau củ quả, sữa chua.
- Trám bít hố rãnh cho răng hàm: giúp ngăn sâu răng ở trẻ em.
- Khám răng định kỳ 6 tháng/lần: phát hiện sớm sâu răng hoặc các dấu hiệu bất thường.
Khám và điều trị viêm tủy răng sữa tại Nha khoa Cẩm Tú
Tại Nha khoa Cẩm Tú, cha mẹ có thể hoàn toàn yên tâm khi đưa trẻ đến điều trị viêm tủy răng sữa:
- Đội ngũ bác sĩ chuyên môn cao: nhiều năm kinh nghiệm trong điều trị răng trẻ em.
- Trang thiết bị hiện đại: máy X-quang kỹ thuật số, thiết bị nội nha tiên tiến.
- Quy trình vô trùng nghiêm ngặt: đảm bảo an toàn cho trẻ.
- Phương pháp nhẹ nhàng, hạn chế đau: giúp bé hợp tác, giảm sợ hãi.
- Được GCR (Global Clinic Rating) công nhận vượt chuẩn quốc tế, báo Thanh Niên cũng ghi nhận: “Các thang điểm về chuyên môn, dịch vụ và mức độ hài lòng khách hàng tại Nha khoa Cẩm Tú vượt trội hơn hẳn so với tiêu chuẩn phòng khám quốc tế hiện hành.”
Viêm tủy răng sữa là bệnh lý phổ biến nhưng nguy hiểm nếu không điều trị kịp thời. Cha mẹ cần chú ý đến các dấu hiệu đau răng, đổi màu răng hay sưng nướu ở trẻ để đưa bé đi khám sớm.
Điều trị đúng cách sẽ giúp bảo tồn răng sữa, giữ chỗ cho răng vĩnh viễn mọc đúng vị trí và bảo vệ sức khỏe răng miệng lâu dài. Nếu đang tìm địa chỉ uy tín, Nha khoa Cẩm Tú tại TP. HCM chính là lựa chọn an toàn và chất lượng cho bé yêu của bạn.

